🌟服务:小姐姐很耐心,一直问我冷不冷,需不需要毛毯之类的。因为照灯嘴需要一直张着,其实还挺累的,我就举着玩手机,中间还睡过去了。
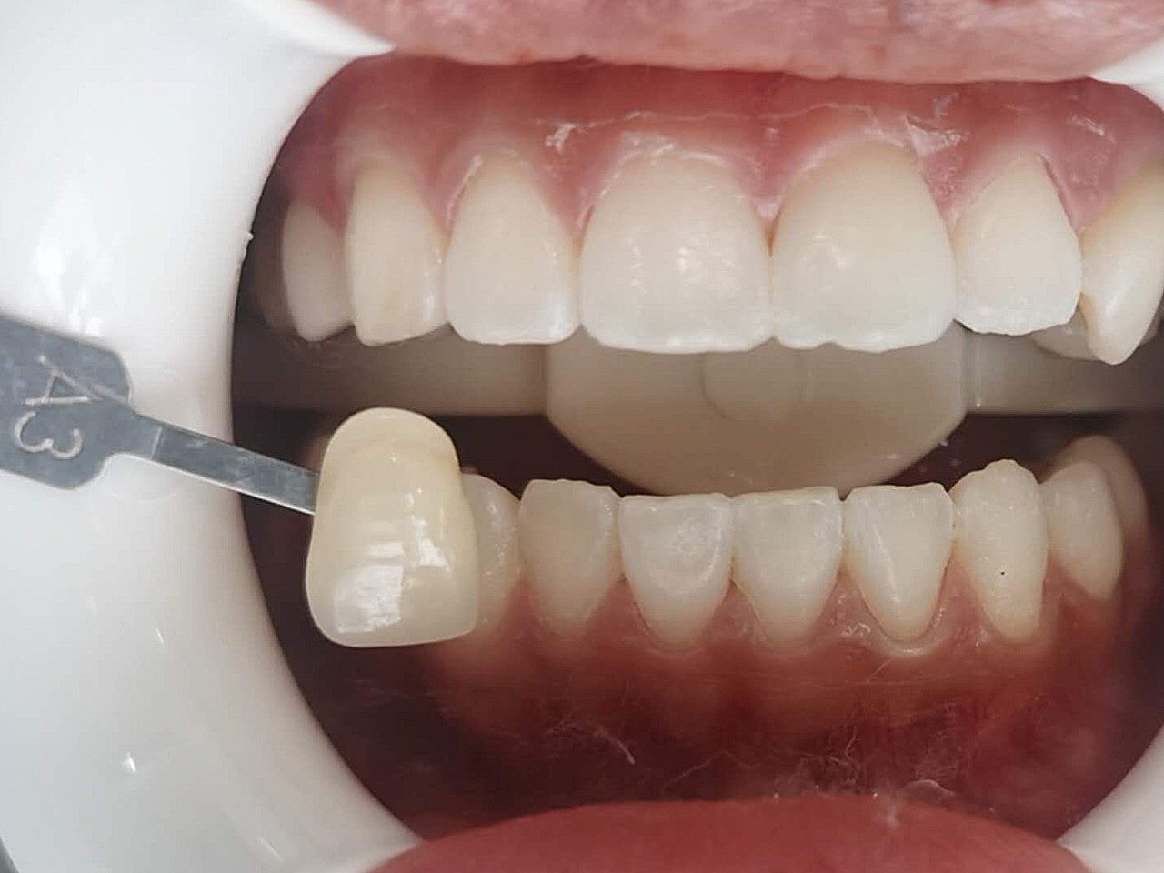
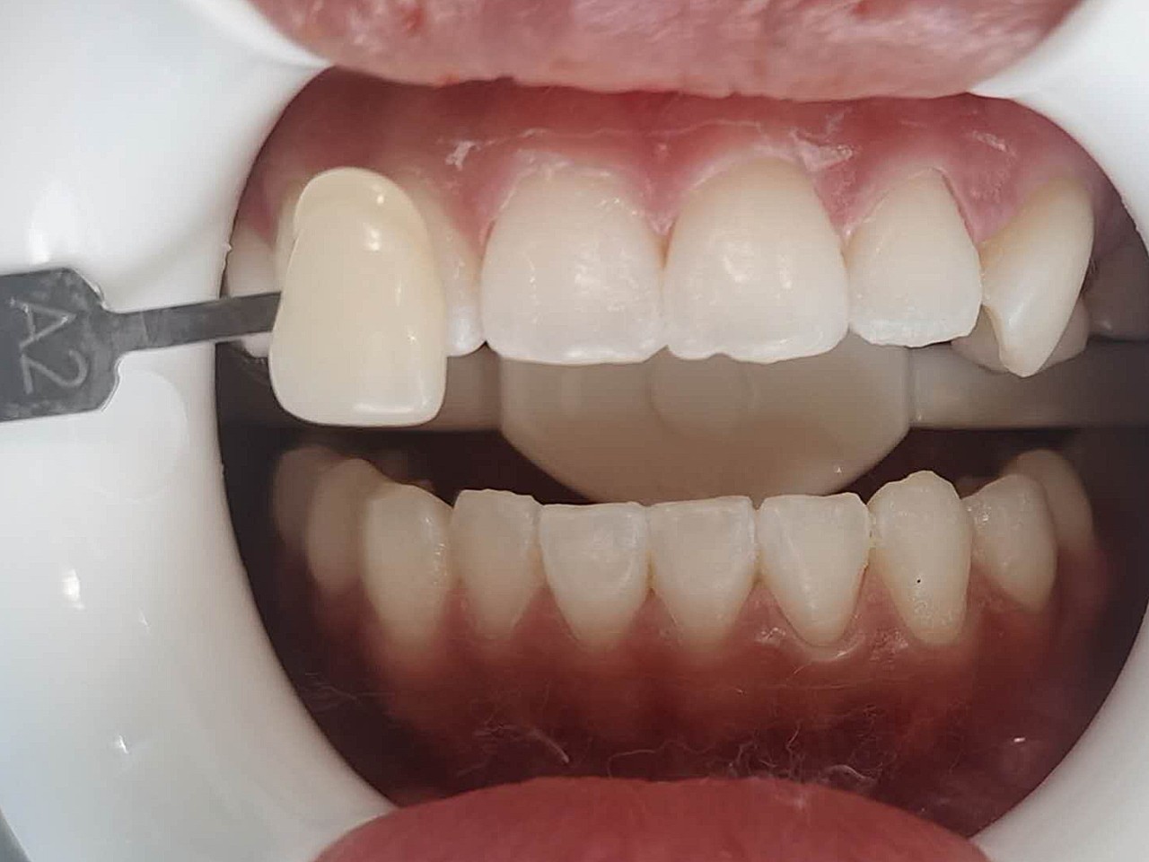
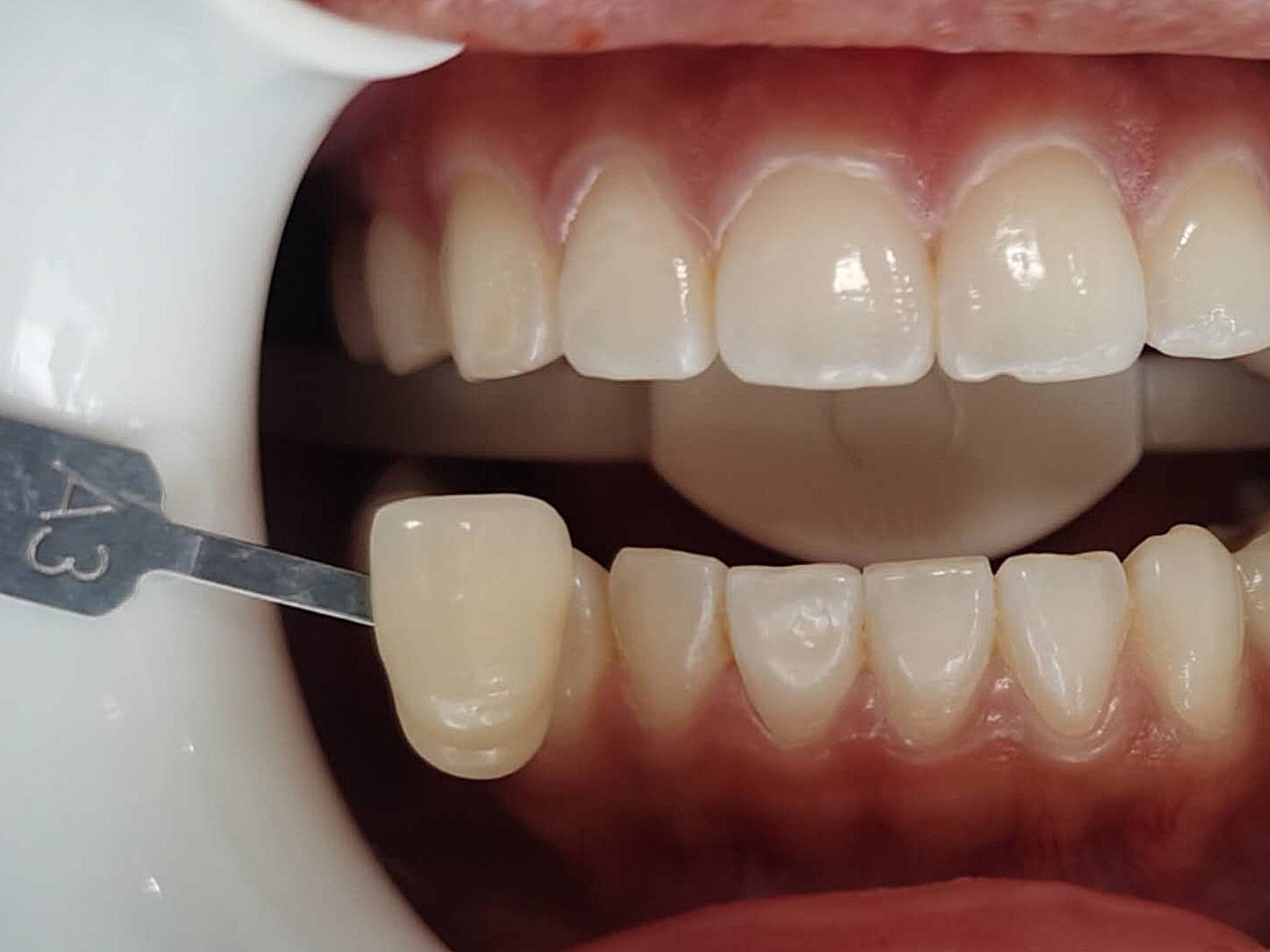
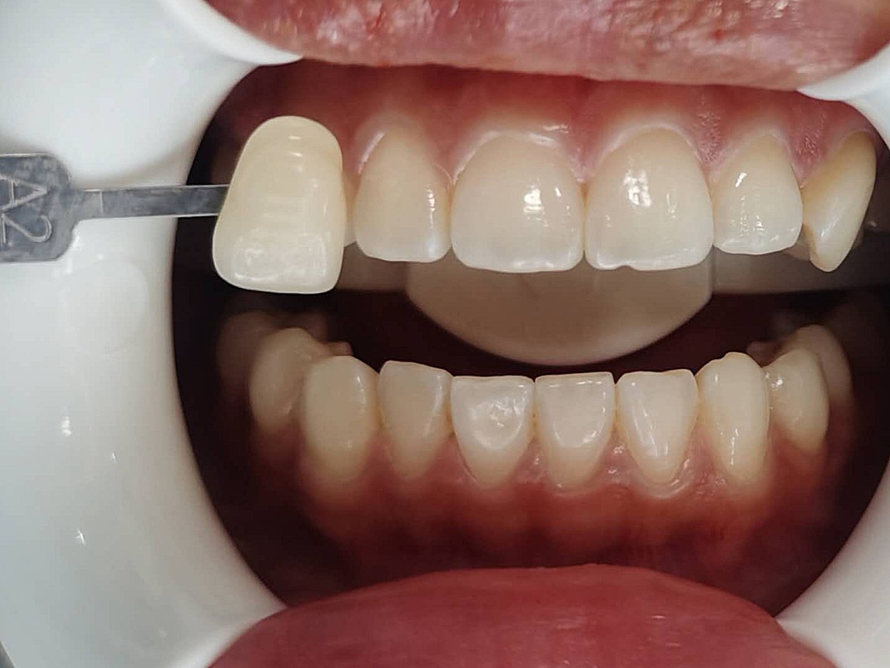
🌟效果:可以直接看对比图。术前小姐姐用色卡给我比划了差不多在a2,a3左右,术后直接到了a1。白了一个多度。
🌟术后护理:术后一定要注意别喝茶别喝咖啡,好好护理。我就是不注意,但是最后效果还不错
一起做功课发布于 2021-09-17 21:16:29 点赞:5 收藏:1 评论:3

想纹眉已经很久了,但因为看到很多店家纹的像蜡笔小新一直不敢下手。最近越来越懒还是
7

刚做完第一天,双眼皮真的很肿,感觉眼皮压力蛮重的,眼睛都有点睁不开的意思,第一次
388

😇运气爆棚,没想到能抽中我作为双眼皮的体验官,好鸡冻...🤩▶️早就想做双眼皮了,可
3

之前因为做全职妈妈,对自己的脸也不够关注,上班后发现这眼袋怎么化妆都遮不掉,纠结
14

🥦🥦到了我这个年纪是应该做个抗初老项目,保养一下自己,让自己的皮肤更紧致提升一点
7

大家好,我是小叮当!💛第一次给大家分享这款👍馨妍玻尿酸国货黑科技,全新出品的2.0玻
4

都在说我割的双眼皮显老我不服气!体验前变美诉求:为什么这么说,身边的女孩子
13

🌻体验项目:针清祛痘微针🎀体验前变美诉求:主要是想改善一下脸上的痘痘还有闭口,这
9

真的不应该去做热玛吉因为做了一次之后我就打算以后每年都来做一次,效果真的有让我惊
530

🎀❤最近黑金超光子嫩肤风很大,据说一次超光子相当于三次普通光子的效果。趁着有时间
3