发布于 2020-03-18 13:46:22 点赞:9 收藏:0 评论:4

吸脂体验:与顽固脂肪的“告别礼”
0
✨WOOA 整形外科皮肤科李振硕院长来啦✨👨⚕️深耕医美领域多年,是 WOOA 核心技术院长之一,专注精细化整形与皮肤抗衰联合治疗。作为韩国医美创新派医师,他主
23
谁懂啊!久坐腰腹堆肉,运动又瘫星人真的会哭😭被韩女姐妹安利的Ulfit优飞塑绝了!韩国黑科技太懂我们需求——不用开刀,全靠HIFU超声能量精准轰脂,腰腹、大腿的
6

拉皮后可以变成小v脸是真的吗?
8
📝丽珠兰全系列攻略|按龄选对不踩雷!韩国医美顶流丽珠兰,9 款怎么挑?看完这篇秒变专家~🔹25 抗初老:黑盒(经典款):鲑鱼 PN 激活胶原,干纹毛孔全改善,2
19
👩⚕️院长背书超安心:朴舒锳院长可是韩肤界大咖!曾任职特秀恩碧江南店、YOU&I皮肤科院长,10年 美肤沉淀,定期参加国际交流,审美和技术双在线,全程1
10

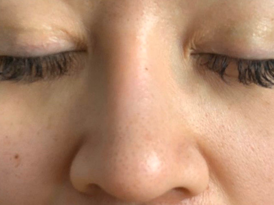
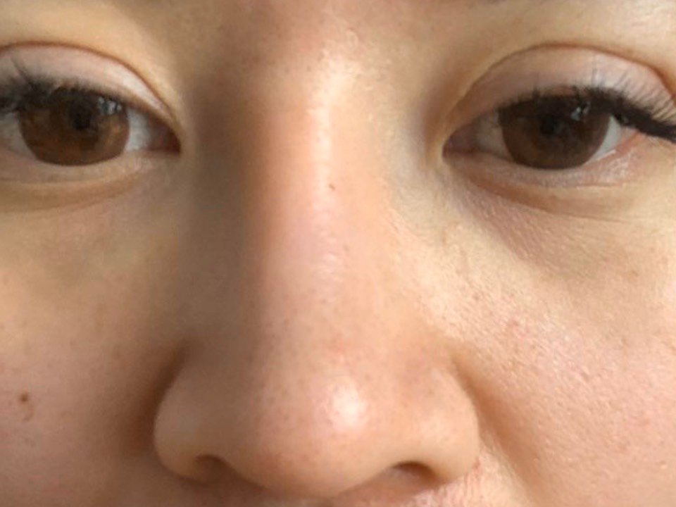
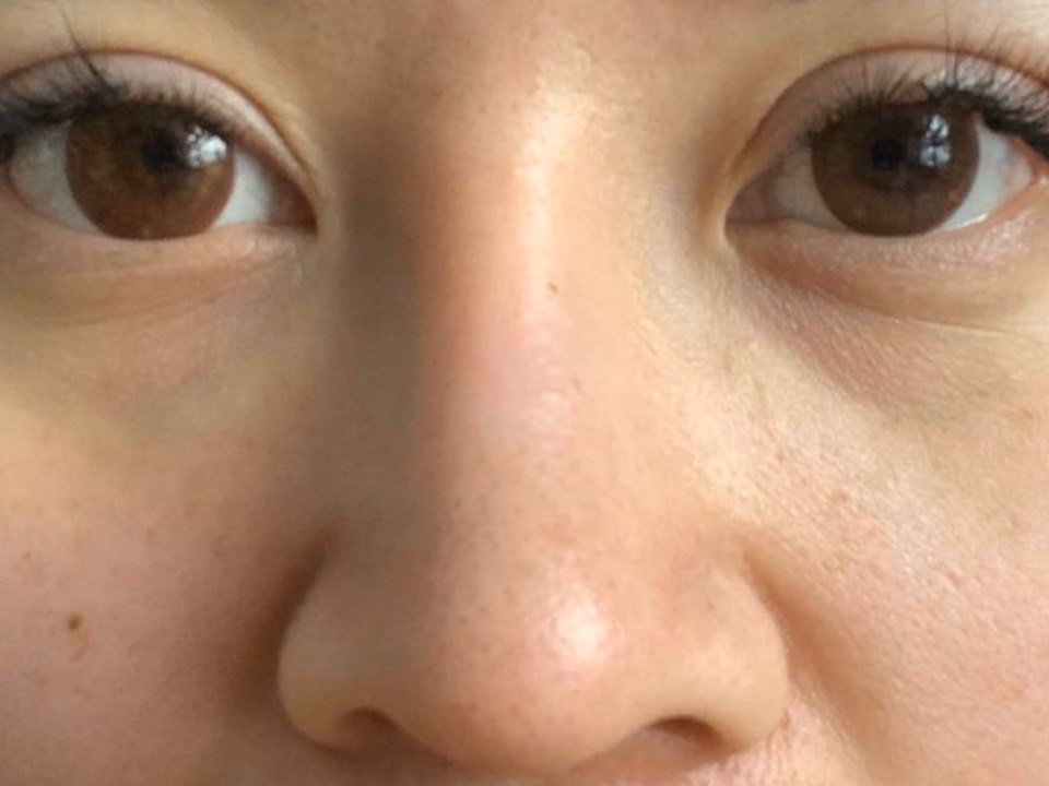
术前情况: 纯纯的单眼皮,最烦的是眼皮松弛下垂特别严重!感觉眼皮都快盖住睫毛了,显得眼睛特别小、无神,还显老! 做了超多功课!看了新氧,选择的白大褂尤其擅长处理
0

日本名医 |石原里美同款“神之手”酒井直彦医生宜采独家采访银座S美容形成外科医院明
20
30 抗衰封神!第二代超声刀真的赢麻了谁懂啊!熬夜垮脸 法令纹卡粉,原相机里的自己像老了5岁😭 被韩国皮肤科闺蜜按头冲第二代美版超声刀,做完直接惊掉下巴!和老版
2
三种隆鼻材料选哪种?超体、耳软骨、肋软骨,三种隆鼻材料各具特色,如何选择取决于您
175






上传消费凭证
